Może ktos potwierdzić to co przypuszczam na zdjęciach lub zidentywikować to co widzi.szulcik pisze:No ale ta penicylina to na co? Na wszystko? Chciał bym wiedzieć co leczę....
Chore....
Moderatorzy: niki 28, _TOM_, Kazimierz1961
- kubamajer
- entuzjasta

- Posty: 656
- Rejestracja: 10 sty 2006, 12:25
- Imie i Nazwisko: Kuba Majerczyk
- Miejsce zamieszkania/miasto/: Warszawa
- Lokalizacja: Warszawa
- Kontaktowanie:
Mateusz, ciekawe co byś musiał zobaczyć pod mikroskopem, żeby stwierdzić, ze wszystko w porządku, ha?
Jeśli chodzi o ten post, to:
nr 1 - nic
nr 2 - ruszało się to?
nr 3 - nic
Teraz ten post:
nr 4 - może(nie musi) być oodinium, jeśli to jest śluz. Rozumiem, że to się nie ruszało(pytałeś czy to jaja)? Piszesz też, że ryby się nie ocierają, więc obserwuj czy na pewno, przy czym jedna jaskółka wiosny nie czyni.
nr 5 - nic
nr 6 - czy to się ruszało i rozczapierzało "łapkę" z haczykami, że widzisz w tym płazińca?
Dalej:
nr 7 - czy to się ruszało?
nr 8 - pewnie wszystkie były okrągłe? To są piłeczki, którymi płazińce grają w mini-golfa z nicieniami - celują nimi do otworów nosowych paletki
. A poważnie, to są pęcherzyki powietrza pod szkiełkiem, spotkasz je nie raz.
Moim zdaniem mogłeś przywlec coś albo z korzeniem, bo nie został zdezynfekowany, a pochodził z innego akwarium, albo z rośliną - sól najbardziej dokuczyła roślinie, a najmniej temu, co miała na sobie. Chyba, że stężenie było małe, to wtedy ..nikt nie oberwał.
Śluz z ryby oglądaj natychmiast po pobraniu, bo za 5 minut, to jest już po ptakach.
W pierwszej kolejności patrz co się tam rusza przy pow. 100~200x, nieruchomymi farfoclami sobie głowy nie zawracaj.
Na Twoim miejscu zajrzałbym w odchody.
Jest jeszcze sprawa - czym mierzysz ph i jak często?
pozdr
Jeśli chodzi o ten post, to:
nr 1 - nic
nr 2 - ruszało się to?
nr 3 - nic
Teraz ten post:
nr 4 - może(nie musi) być oodinium, jeśli to jest śluz. Rozumiem, że to się nie ruszało(pytałeś czy to jaja)? Piszesz też, że ryby się nie ocierają, więc obserwuj czy na pewno, przy czym jedna jaskółka wiosny nie czyni.
nr 5 - nic
nr 6 - czy to się ruszało i rozczapierzało "łapkę" z haczykami, że widzisz w tym płazińca?
Dalej:
nr 7 - czy to się ruszało?
nr 8 - pewnie wszystkie były okrągłe? To są piłeczki, którymi płazińce grają w mini-golfa z nicieniami - celują nimi do otworów nosowych paletki
Moim zdaniem mogłeś przywlec coś albo z korzeniem, bo nie został zdezynfekowany, a pochodził z innego akwarium, albo z rośliną - sól najbardziej dokuczyła roślinie, a najmniej temu, co miała na sobie. Chyba, że stężenie było małe, to wtedy ..nikt nie oberwał.
Śluz z ryby oglądaj natychmiast po pobraniu, bo za 5 minut, to jest już po ptakach.
W pierwszej kolejności patrz co się tam rusza przy pow. 100~200x, nieruchomymi farfoclami sobie głowy nie zawracaj.
Na Twoim miejscu zajrzałbym w odchody.
Jest jeszcze sprawa - czym mierzysz ph i jak często?
pozdr
-
szulcik
- junior

- Posty: 56
- Rejestracja: 27 mar 2007, 21:48
- Lokalizacja: Opalenica/k. Poznania
- Kontaktowanie:
To było moje pierwsze spojrzenie w mikroskop dlatego więc pytam. Co bym musiał zobaczyć żeby stwierdzić że są zdrowe hmm nie wiem, jak nabiore doświadczenie to pewnie będę wiedział co jest co.
Nie znalazłem nic co by się ruszało. Śluz badałem odrazu po zebraniu go z ryby.
Jak będą jakieś odchody to wezmę je pod lupę. Narazie podałem do akwarium sól co uspokoiło ryby- no i czekam.
Co do ph to mierze ok 2 razy w tygodniu testem zooleka.
Dzięki Kuba za odpowiedź.
Nie znalazłem nic co by się ruszało. Śluz badałem odrazu po zebraniu go z ryby.
Jak będą jakieś odchody to wezmę je pod lupę. Narazie podałem do akwarium sól co uspokoiło ryby- no i czekam.
Co do ph to mierze ok 2 razy w tygodniu testem zooleka.
Dzięki Kuba za odpowiedź.
- kubamajer
- entuzjasta

- Posty: 656
- Rejestracja: 10 sty 2006, 12:25
- Imie i Nazwisko: Kuba Majerczyk
- Miejsce zamieszkania/miasto/: Warszawa
- Lokalizacja: Warszawa
- Kontaktowanie:
Mateusz, płazińce możesz sobie pooglądać w dziale mikroskop. Wstawiłem też dwa niezłe filmiki z YouTube(nie moje) w tym poście.
Co do próbek śluzu z ryby - można "rozcieńczyć" kroplą wody na szkiełku, przed przykryciem. Może to pomóc ruchomym obiektom się ujawnić
.
Sprawdzałeś NO2?
pozdr
Co do próbek śluzu z ryby - można "rozcieńczyć" kroplą wody na szkiełku, przed przykryciem. Może to pomóc ruchomym obiektom się ujawnić
Sprawdzałeś NO2?
pozdr
-
szulcik
- junior

- Posty: 56
- Rejestracja: 27 mar 2007, 21:48
- Lokalizacja: Opalenica/k. Poznania
- Kontaktowanie:
Na rybach nie znajduje nic ruchomego.
W odchodach nie znajduje nic ruchomego.
Ryby są wyraźnie podenerwowane.
Niestety ryby od czasu do czasu trzepią płetwami. Od trzech dni siedzą blade w kącie akwarium i nie jedzą. Wypływają po zgaszeniu światła ( może za mocne?).
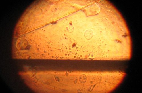
Wstawiam dwie kolejne fotki.
nr 1 ze śluzu 120x
nr 2 z odchodów 120x
W odchodach nie znajduje nic ruchomego.
Ryby są wyraźnie podenerwowane.
Niestety ryby od czasu do czasu trzepią płetwami. Od trzech dni siedzą blade w kącie akwarium i nie jedzą. Wypływają po zgaszeniu światła ( może za mocne?).
Wstawiam dwie kolejne fotki.
nr 1 ze śluzu 120x
nr 2 z odchodów 120x
- Załączniki
-
- nr 1.JPG (25.04 KiB) Przejrzano 6296 razy
-
- nr 2.JPG (25.39 KiB) Przejrzano 6296 razy
-
marek732
- junior

- Posty: 69
- Rejestracja: 31 sty 2005, 21:25
- Imie i Nazwisko: Marek Kochaniak
- Miejsce zamieszkania/miasto/: Warszawa
- Lokalizacja: Warszawa
zwróciłbym uwagę na dobowe wachania ph. Zwłaszcza po podmianie i dodaniu kwasu. Przydałoby się również rybom coś z karmy roślinnej. Dobra jest np. spirulina. Co do podmian, Ten kwas mi nie leży. A two równe tww przy ph wynoszącym 5,5-6 wydaje mi się mało prawdopodobne. Należy pamietać, że ryba lepiej będzie się czuła w stabilnych warunkach. A co za tym idzie, będzie silniejsza i jej system immunologiczny lepiej sobie poradzi z pasożytami. wprowadź też przynajmniej tymczasowo minejsze podmiany ale dwa razy w tygodniu.
W/g zasady. W zdrowym ciele, zdrowy duch.
Pozdrawiam marek
W/g zasady. W zdrowym ciele, zdrowy duch.
Pozdrawiam marek
-
szulcik
- junior

- Posty: 56
- Rejestracja: 27 mar 2007, 21:48
- Lokalizacja: Opalenica/k. Poznania
- Kontaktowanie:
Co do dobowych wachań ph to ich praktycznie nie ma bo w akwarium sa diwe roślinki. Z karmy roslinnej mają szpinak w miesie i spirulinę osobno.
Two jest równe tww dla wody bez kwasu( nie sprecyzowałem w opisie), gdy dodam kwasu wiadomo że tww spada na zero przy takim ph. Wodę przed wlaniem do akwa odstawiam na 2 dni i napowietrzam.
Warunki wodne są więc stałe.
Mam też inne obawy co do samopoczucia ryb,ale o tym później...
Two jest równe tww dla wody bez kwasu( nie sprecyzowałem w opisie), gdy dodam kwasu wiadomo że tww spada na zero przy takim ph. Wodę przed wlaniem do akwa odstawiam na 2 dni i napowietrzam.
Warunki wodne są więc stałe.
Mam też inne obawy co do samopoczucia ryb,ale o tym później...
Kto jest online
Użytkownicy przeglądający to forum: Obecnie na forum nie ma żadnego zarejestrowanego użytkownika i 5 gości
