Proszę o pomoc w identyfikacji!!!

Choroby dyskowców, sposoby leczenia oraz leki, diagnoza za pomocą mikroskopu.

Moderatorzy: niki 28, _TOM_, Kazimierz1961

marcinek230480
junior
junior
Posty: 97
Rejestracja: 03 cze 2006, 09:40
Lokalizacja: Ostróda

Post autor: marcinek230480 » 24 kwie 2007, 20:46

i następna
Załączniki
DSC05518.JPG
DSC05518.JPG (23.69 KiB) Przejrzano 6876 razy

marcinek230480
junior
junior
Posty: 97
Rejestracja: 03 cze 2006, 09:40
Lokalizacja: Ostróda

Post autor: marcinek230480 » 24 kwie 2007, 20:47

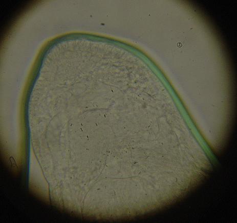
i jeszcze jedna, głowa
Załączniki
DSC05519.JPG
DSC05519.JPG (10.78 KiB) Przejrzano 6871 razy

adamn
entuzjasta
entuzjasta
Posty: 967
Rejestracja: 20 lut 2006, 10:50
Lokalizacja: Wrocław

Post autor: adamn » 24 kwie 2007, 21:21

Zrób w większym powiększeniu nawet część - co Ci się złapie.
Adam

marcinek230480
junior
junior
Posty: 97
Rejestracja: 03 cze 2006, 09:40
Lokalizacja: Ostróda

Post autor: marcinek230480 » 25 kwie 2007, 09:13

Ok Adamie, a jeżeli to nicienie to czym to g....no zwalczyć?

marcinek230480
junior
junior
Posty: 97
Rejestracja: 03 cze 2006, 09:40
Lokalizacja: Ostróda

Post autor: marcinek230480 » 25 kwie 2007, 14:55

Kolejne fotki
Załączniki
DSC05521.JPG
DSC05521.JPG (19.65 KiB) Przejrzano 6823 razy

marcinek230480
junior
junior
Posty: 97
Rejestracja: 03 cze 2006, 09:40
Lokalizacja: Ostróda

Post autor: marcinek230480 » 25 kwie 2007, 14:56

i nastepna
Załączniki
DSC05528.JPG
DSC05528.JPG (22.48 KiB) Przejrzano 6819 razy

marcinek230480
junior
junior
Posty: 97
Rejestracja: 03 cze 2006, 09:40
Lokalizacja: Ostróda

Post autor: marcinek230480 » 25 kwie 2007, 14:59

następna
Załączniki
DSC05522.JPG
DSC05522.JPG (17.78 KiB) Przejrzano 6815 razy

marcinek230480
junior
junior
Posty: 97
Rejestracja: 03 cze 2006, 09:40
Lokalizacja: Ostróda

Post autor: marcinek230480 » 25 kwie 2007, 15:02

Jak z tym gównem walczyć?

adamn
entuzjasta
entuzjasta
Posty: 967
Rejestracja: 20 lut 2006, 10:50
Lokalizacja: Wrocław

Post autor: adamn » 25 kwie 2007, 19:39

Są to 100% nicienie IMO Contracaecum

Tu nicienie w ruchu - szczególnie dobrze widoczne jak Twoje na filmie 4 i 6.

http://www.fotosearch.com/video-footage/nematodes.html

Zwalczanie, gdy jedzą to levamizol do granulatu przez 2 dni a potem powtórka po około tygodniu. Mozna też podawac PRATEL do pokarmu - serca przez 2 dni i tylko tym karmić. Łyżka serca na 1 tabletkę startą na pył i całość wymieszana. Mając mikroskop badaj odchody co dnia. Można też podawać NEGUVON do kąpieli.
Adam

marcinek230480
junior
junior
Posty: 97
Rejestracja: 03 cze 2006, 09:40
Lokalizacja: Ostróda

Post autor: marcinek230480 » 25 kwie 2007, 21:41

Adamie podam levamisol do pokarmu, tylko ile? ile kropli na płaską łyżeczkę serca?

marcinek230480
junior
junior
Posty: 97
Rejestracja: 03 cze 2006, 09:40
Lokalizacja: Ostróda

Post autor: marcinek230480 » 25 kwie 2007, 21:41

serca lub granulatu oczywićie

adamn
entuzjasta
entuzjasta
Posty: 967
Rejestracja: 20 lut 2006, 10:50
Lokalizacja: Wrocław

Post autor: adamn » 26 kwie 2007, 06:22

Granulat w czymś zalewasz kropelkowo levamizolem tak by był cały mokry. Po 5 minutach jak "wpije" lek do ryk. Pratel do serca.
To nie apteka.
Adam

marcinek230480
junior
junior
Posty: 97
Rejestracja: 03 cze 2006, 09:40
Lokalizacja: Ostróda

Post autor: marcinek230480 » 27 kwie 2007, 15:37

Adamie, od wczoraj podaje levamisol, ale mam pytanie mimo częstych podmian w akwarium dalej jest sporo tych nicieni? Czy należy się tym przejmować? ćzy podjąć leczenie levamisolem wlewając go do akwarium? Dodam, że to akwarium sterylne.

adamn
entuzjasta
entuzjasta
Posty: 967
Rejestracja: 20 lut 2006, 10:50
Lokalizacja: Wrocław

Post autor: adamn » 27 kwie 2007, 16:27

marcinek230480 pisze: w akwarium dalej jest sporo tych nicieni?
A gdzie się znajdują te nicienie :?:
Nie mylić z wypławkami.
Adam

marcinek230480
junior
junior
Posty: 97
Rejestracja: 03 cze 2006, 09:40
Lokalizacja: Ostróda

Post autor: marcinek230480 » 28 kwie 2007, 07:39

piersze znalazłem nie w gówienku tylko w unoszące sie w akwarium, mimo częstych podmian wody one są nadal, i jest ich dożo. widać duże sztuki takie które badałem pod mikroskopem jak i małe. Nie mam pojęcia skąd one sie tam biorą, i napweno nie są to wypławki, a jeżeli już to jakieś giganty. jak chcesz Adamie to podeślę ci próbkę tych stworzonek.

Odpowiedz

Wróć do „Choroby, Leczenie i Mikroskop”

Kto jest online

Użytkownicy przeglądający to forum: Obecnie na forum nie ma żadnego zarejestrowanego użytkownika i 2 gości